Берут ли в армию с плоскостопием и почему иногда призывают с данным заболеванием
Во время медицинской комиссии на призывном пункте врачи оценивают комплексно состояние здоровья призывника. На основе выводов данной коллегии определяется группа здоровья молодого человека. После этого юноша может быть признан годным или не годным к службе в армии, а также получить отсрочку по болезни. Берут ли в армию с плоскостопием, зависит от степени развития заболевания и того, насколько оно влияет на функционирование всей костной системы призывника.
Возьмут ли в армию с конкретным плоскостопием, необходимо узнать заранее, а также уточнить диагноз, чтобы не стала потом сюрпризом повестка из военкомата.
Что такое плоскостопие
Большинство молодых людей слышали о том, что можно избежать службы в армии, имея плоскостопие. Якобы плоскостопие и армия – вещи не совместимые. А вот что такое плоскостопие, знают далеко не все.
Природа создала наш скелет таким образом, что мы можем ходить вертикально. Это оказывает большие нагрузки на позвоночник. Чтобы происходила амортизация, природой на стопе предусмотрено два свода — продольный и поперечный. При плоскостопии один или оба свода отсутствуют или имеют неправильную форму. В зависимости от степени заболевания человеку становится тяжело переносить физические нагрузки, поскольку происходит излишнее давление на позвоночный столб и нижние конечности. В итоге болезнь может привести к деформации суставов, а также к невозможности бегать и даже ходить.
Существует несколько видов болезни. Берут ли в армию с плоскостопием, с этого года зависит только от точного диагноза хирурга-ортопеда. В первую очередь, плоскостопие может быть продольным, поперечным, а также комбинированным. Этот диагноз зависит от того, какая дуга деформирована. Кроме того, плоскостопие подразделяется на врожденное и приобретенное. Врожденное получается за счет патологий формирования костной системы в утробе матери. Приобретенное может возникнуть вследствие травм, неправильного питания или плохой обуви. Играет роль и количество физических нагрузок. Второй вариант встречается чаще. По причинам возникновения патология разделяется на:
- Рахитический, который возникает при недостатке витаминов;
- Статистический;
- Паралитический, из-за атрофированных мышц;
- Травматический.
В зависимости от степени плоскостопия, различается тяжесть болезни, что в итоге влияет на годность призывника к военной службе.
Важно понимать, что даже легкую степень этой патологии необходимо лечить, поскольку в противном случае могут возникнуть проблемы со всеми функциями организма, нарушится работа позвоночника, тазобедренного сустава, человек не сможет нормально передвигаться. Для лечения необходима специальная гимнастика, ортопедические стельки, а также, в некоторых случаях, хирургическое вмешательство.

Плоскостопие 1 степени
Самая легкая степень нарушения. Берут ли в армию с плоскостопием 1 степени? Да, берут и даже не устанавливают ограничений по родам войск. Она устанавливается при наличии угла наклона стопы до 140 градусов. В поперечном углу – не больше 12 градусов. Такая патология не может препятствовать несению военной службы и ношению военной обуви. Поэтому, при постановке диагноза «плоскостопие 1 степени», призывнику дается группа здоровья «А», то есть он считается годным в любые виды войск. Плоскостопие 1 степени и армия могут совмещаться, вопреки всем слухам. Поэтому тем, у кого обнаружена легкая форма деформации, не стоит раньше времени радоваться и откладывать подготовку к призыву.
Плоскостопие 2 степени
Еще совсем недавно с патологией стопы 2 степени для юноши путь в армию был закрыт. Но сейчас немного изменились законы, и то, возьмут ли сейчас в армию с плоскостопием 2 степени, зависит от родов войск. Чаще всего комиссия в таком случае ставит группу здоровья Б-3, что означает: годен с некоторыми ограничениями. С такой группой здоровья в военном билете можно идти служить в ракетные войска, в водители БМП, БТР, а также на складе или в штабе. Подходят любые рода войск, где нет лишней физической нагрузки.
Не годным признается к службе в мирное время призывник, который, кроме 2степени плоскостопия, имеет 2 степень артроза. При первой степени артроза в армию идти придется.
Плоскостопие 3 и 4 степени
Берут ли сейчас в армию с сильным плоскостопием? Если у призывника деформация стопы выше 3 степени, то юноша на призывном пункте получает группу здоровья «В». Это означает, что он ограниченно годен к военной службе. Молодых людей с данной категорией сразу зачисляют в запас, и они не призываются на службу в мирное время.
Таких людей призывают на службу только в военное время, согласно категории запаса. Для того чтобы попасть из категории запаса на службу, придется пройти военные сборы. Если же в стране не наступит чрезвычайной ситуации, то призывник с группой здоровья В так и не оденет военной формы. При этом не важно, выявлен ли у пациента болевой синдром, и насколько он силен. Плоскостопие 3 и 4 стадии гарантирует освобождение от армии.
Почему плоскостопие не совместимо со службой в армии
Почему с плоскостопием не берут в армию? На самом деле ответ очень прост — с тяжелыми формами плоскостопия пациенту противопоказан бег и прочие физические нагрузки. Происходит это из-за того, что при развитии плоскостопия со временем начинаются проблемы с самим механизмом движения человека, прибавляются сильные боли, а также сопутствующие заболевания суставов.
Если на призывника надеть кирзовые сапоги, которые обычный солдат носит ежедневно, то рано или поздно его плоскостопие даст выраженный болевой синдром, и он не сможет не только служить, но и ходить. Если заставить призывника плоскостопием носить армейскую обувь, то после армии он получит тяжелые поражения суставов, вплоть до сильных степеней артроза и группы инвалидности.
С плоскостопием берут на службу в армию только в случае, когда его степень не угрожает нормальному функционированию костной системы и здоровью суставов.
Как различаются степени плоскостопия
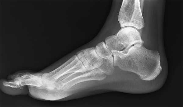
Для того чтобы различить степень деформации стопы и выявить группу здоровья призывника, необходимо произвести рентгеновский снимок свода стопы, а также осмотр хирурга. Заключение может выдвинуть только хирург-ортопед. Для постановки диагноза необходимо описание рентгеновского снимка, который делается в вертикальном положении. Так заметнее нагрузка на стопу. В описании уточняется угол наклона стопы и угол Белера, который описывает степень деформации пяточной кости в стопе.
Для более точного диагноза, при тяжелой степени плоскостопия, рекомендуется пройти компьютерную томографию, которая поможет оценить нормальное развитие и функционирование подтаранного сустава.
Также ортопед обязан описать угол наклона, кости плюсны и первого пальца. Почему с плоскостопием не берут в армию, доподлинно известно только тем, кто реально болеет и понимает, насколько эта болезнь серьезна. Многие думают, что плоскостопие – самый легкий способ «откосить» от службы. На самом деле та степень патологии и деформации стопы, с которой реально не берут в армию, создает очень большие проблемы в простой жизни. Это очень серьезное заболевание, которое может мешать даже передвижению человека в повседневной жизни.

Как доказать свою правоту
В первую очередь, важно понимать, что в военкомате не ставят диагнозы, а только, на основе имеющихся документов, определяют пригодность к службе. Диагноз должны поставить в поликлинике. При этом группа здоровья в военкомате выставляется по минимальному значению. Например, если окулист определил вашу группу здоровья, как А1, а хирург написал Б3, то, в итоге, в военном билете будет стоять Б3. Всего есть 4 варианта годности:
- А — годен во все войска;
- Б — годен с незначительными ограничениями;
- В — ограниченно годен;
- Г — временно не годен;
- Д — не годен.
Цифирные индексы в данном случае выставляются только при категориях А и Б. Цифры означают род войск, в которые может быть определен призывник по состоянию здоровья.
Очень часто, особенно во второй половине призыва, когда у военкомата висит план, годность выставляют, несмотря на диагнозы. Иногда просто «теряют» некоторые документы и снимки. Поэтому, если призывник уверен в своем диагнозе, рекомендуется в военкомат нести копии документов.
В случае несогласия с диагнозом и группой годности, необходимо как можно быстрее обратиться в вышестоящий комиссариат. После этого стоит подойти в другое медучреждение, а также согласиться на независимую медицинскую экспертизу.
В итоге дело может дойти до искового заявления. Важно понимать, что к судебному заседанию следует подготовить как можно больше доказательств того, что у призывника имеется подтвержденный диагноз «плоскостопие», со степенью деформации, не подходящей для службы в армии. Если юноша не уверен в своих силах, можно обратиться к профессиональному юристу с опытом ведения подобных дел.
Важно не отступать и продолжать доказывать свою правоту, поскольку служба в армии – это тяжелая физическая нагрузка, которая может подорвать и без того слабое здоровье.
Отсутствие одного или обоих сводов стопы создает проблемы для нормального функционирования всего скелета. Человеку трудно будет передвигаться, а со временем, еще и очень больно. Поэтому не стоит, махнув рукой, относиться к такой патологии. Важно как можно раньше начать лечение, а служба в армии может и подождать. Главное – к призывной комиссии подготовиться и представить все документы, подтверждающие ваше право не отдавать долг Родине по состоянию здоровья. Потому то, призывают ли в армию с плоскостопием, зависит сугубо от степени данного заболевания у вас и вашей твердости, в случае, если военкомат не хочет признавать ваш диагноз.
neprizyvnoi.ru
Берут ли в армию с плоскостопием 2 степени
Если у молодого человека плоскостопие 2 степени, берут ли в армию с таким диагнозом? Некоторые призывники и их родители считают плоскостопие достаточным поводом не идти в вооруженные силы. Но врачи в ходе обследования выносят другой вердикт, к строевой службе годен. Почему же не совпадают мнения сторон? Да, есть основания заподозрить плоскостопие в тех случаях, когда у новобранца после продолжительной ходьбы болят ноги, а массаж не приносит облегчения. Но окончательный диагноз должен ставить профессиональный специалист.

Армия для парней это настоящая школа жизни. Однако справится ли молодой человек с повышенной физической нагрузкой, если у него диагноз плоскостопие 2 степени? Требуется ли в этом случае отсрочка от армии? Эти вопросы задают себе и врачи, делая выводы о пригодности к строевой службе. Потому что если в воинской части произойдет несчастный случай из-за халатности врача, то отвечать придется ему. Но и командиры не очень рады, когда к ним на службу присылают хромых и больных.
Как заболевание отражается на состоянии здоровья больного?
Плоскостопием называют деформацию стопы со сводом. Заболевание во многих случаях является приобретенным, а не наследственным. Оно может развиться по многим причинам:
- от работы, стоя;
- если носить неправильную обувь;
- когда человек страдает от ожирения.
К симптомам плоскостопия относятся следующие признаки:
- болевые ощущения при ходьбе;
- конечности сводит судорогами;
- обувь быстро изнашивается с внутренней стороны;
- ступня расширяется в области пальцев;
- ноги гудят, если требуется много ходить.
Профессиональные ортопеды различают следующие виды деформации стопы:
- поперечное плоскостопие вызывает деформацию пальцевых костей;
- рахитическое при остром дефиците витамина D;
- травматическое происходит в результате переломов костей ног;
- паралитическое возникает, когда мышцы ступни парализованы;
- продольное характеризуется изменением внутреннего свода стопы.
Существуют следующие степени плоскостопия:
- Плоскостопие 1 степени ставят, если угол отклонения от нормы первого пальца составляет меньше 20 градусов. При таком диагнозе человек утомляется, когда выполняет большую физическую нагрузку или долго ходит. Под пальцами (2 — 4) образуются так называемые натоптыши.
- Плоскостопие 2 степени называют умеренным. Палец отклонен от нормального положения в пределах 20 — 35 градусов. Болевые ощущения и жжение стоп пациент испытывает часто. Человеку трудно ходить постоянно в обуви. На большой поверхности подошвы находятся уплотнения.
- Плоскостопие 3 степени — это отклонение пальца на 35 — 50 градусов. Большой палец, как будто вывихнули. Боли у пациента постоянные. Натоптыши занимают еще больше места. Заболевание может осложняться развитием бурсита — воспалением околосуставной сумки.
- Плоскостопие 4 степени диагностируется, когда палец отклоняется больше чем на 50 градусов.
Определить степень плоскостопия может только врач в медицинском учреждении. Дома выяснить, есть ли у вас проблема со стопами, поможет диагностический способ плантографии. Нанесите краску на подошву и встаньте на белый лист. При слабом отпечатке внутренней части стопы необходимо записаться на прием к врачу. Профессиональный специалист отправит вас на рентген и замерит угол отклонения.
Комбинированное плоскостопие диагностируется, когда у заболевания имеются признаки сразу продольного и поперечного плоскостопия.
Вернуться к оглавлению
Призовут ли юношу с плоскостопием 2 степени в армию?
Родители молодых людей призывного возраста интересуются, если есть плоскостопие 2 степени, берут ли в армию. Плоскостопие 3 или 4 степени является причиной возникновения сильной боли, а стандартная обувь для больных этим недугом не подходит. Такому юноше будет тяжело выполнять физические нагрузки.
Если во время прохождения медкомиссии у призывника обнаружат плоскостопие 1 и 2 степени, его призовут на службу. Сильный болевой синдром наблюдается при продольном плоскостопии 3 и поперечном 3 или 4 степени. При этом недугу сопутствуют другие серьезные проблемы:
- болевой синдром;
- артроз суставов;
- контрактура пальцев ног.
Мужчине или юноше с плоскостопием 3-4 степени выдают военный билет. Его зачисляют в запас, где поставлена запись «ограниченно годен». С плоскостопием 2 степени выдается категория годности Б-3. Это в основном нестроевая служба. Мужчина в армии может служить строителем, дворником или поваром. Плоскостопие подтверждается рентгенологически. Чтобы определить степень заболевания, используется подометрический метод Фридлянда. В соответствии с ним высоту стопы следует умножить на 100 и разделить на длину стопы. Нормой считается результат в пределах 29 — 31.
Сделанный рентген стопы покажет патологические изменения. При продольном плоскостопии:
1 степень — угол свода составляет 131 — 140 градусов, высота свода равна 25 — 35 мм. Деформация костей стопы отсутствует.
2 степень — угол свода составляет 141 — 155 градусов, высота свода равна 24 -17 мм. На рентгеновском снимке можно увидеть следующие изменения: таранная косточка становится короче, шейка не выражена. На тыльной поверхности стопы в месте, где располагается связочный аппарат, имеются изменения, характерные для деформирующего артроза. Патологии могут быть и в области таранно-ладьевидного сочленения.
3 степень — угол свода составляет 156 градусов или больше, а высота свода ниже 17 см. Выступ на поверхности кости пятки сильно увеличивается. Поперечный свод становится плоским. Пятка отклоняется.
При поперечном плоскостопии, которое мы знаем по росту «косточек» на больших пальцах, наблюдаются следующие изменения:
- 1 степень — угол между плюсневыми костями: 1 и 2 составляет 10 -12 градусов.
- 2 степень — угол между плюсневыми костями: 1 и 2 составляет 13 -15 градусов.
- 3 степень — угол между плюсневыми костями: 1 и 2 составляет 16 -20 градусов.
- 4 степень — угол между плюсневыми костями: 1 и 2 составляет более 20 градусов.
Вернуться к оглавлению
Лечение и профилактика плоскостопия 2 степени
Плоскостопие не является небольшим недомоганием. Это серьезное заболевание усложняет жизнь человеку. Он не может ходить на большие расстояния. Ему нужно тщательно подбирать обувь. Многие носят неудобные ботинки на толстой подошве, не задумываясь о том, чтобы уменьшить нагрузки на мышцы. Это приводит к тому, что они атрофируются. Связки начинают плохо работать.
Усиленные нагрузки вредны для ног не меньше. Служба в армии для призывников с 3 или 4 степенью плоскостопия невозможна: они не в состоянии справиться с большой нагрузкой на ноги. Чтобы проблем со здоровьем было меньше, необходимо лечить заболевание.
Поможет справиться с недугом обращение к специалисту и комплексный подход.
Своевременно начатое лечение позволит остановить развитие болезни. Важно делать массаж и принимать ванночки. Пациенту рекомендуется каждый день делать несложные упражнения гимнастики для разработки пальцев ног.
Специальный комплекс включает в себя сгибание стоп и их разгибание. Лечение плоскостопия должен назначить специалист. Врач может порекомендовать занятия на специальном тренажере стопы. Чтобы ходить было комфортнее, подбирается ортопедическая стелька или специальная обувь.
Если серьезно заниматься своим здоровьем, то быстро наступит улучшение. Боль отступит, и пациент не будет испытывать дискомфортных ощущений. В качестве эффективных профилактических мер применяются следующие:
- стельки или обувь, подобранные в соответствии с рекомендациями специалистов;
- ежедневные занятия физкультурой;
- массажные процедуры для ног.
Рекомендуется постоянно принимать витамины, чтобы укрепить иммунитет. Когда природная защитная система организма работает без перебоев, тогда человек меньше подвержен различным заболеваниям. Летом ходите босиком по речному песку или камушкам. Ходьба по неровной поверхности — это прекрасное профилактическое упражнение, полезное для организма. У человека с сильной иммунной системой существует меньше рисков развития плоскостопия. Одной из причин недуга являются перенесенные в детстве серьезные болезни: полиомиелит и сахарный диабет.
Следите за своими ногами и не перегружайте их! Проконсультируйтесь с врачом по поводу оптимальной нагрузки. Следуйте советам специалистов и будьте здоровы!
Автор:
Иван Иванов
Поделись статьей:
Оцените статью:
Загрузка…zdorovyestopy.ru
Плоскостопие 2 степени: берут ли в армию, какая категория годности присваивается при недуге
В возрасте, который близится к призыву, нередко возникает вопрос у будущих защитников об имеющемся заболевании – плоскостопие 2 степени. Берут ли с ним в армию, или его наличия достаточно, чтобы получить отстранение от обязательной службы – разберемся подробнее.
Данное заболевание довольно распространено среди молодых людей, встречается часто, имеет разные степени тяжести.
На самом деле, плоскостопия 2 степени уже достаточно для того, чтобы получить полное противопоказание к физическим нагрузкам, но нередко комиссариат их игнорирует. Вследствие чего, за пару лет службы, состояние молодого человека можно усугубить так, что в будущем лечение предстоит долгое и затратное.
Но неужели все так плохо? Возможно ли получить отстранение службы или попасть в определенные войска, где проблема плоскостопия не будет мешать ни солдату, ни его службе?
Чтобы получить развернутый ответ на вопрос, стоит разобраться подробнее, чем руководствоваться призывнику перед и во время прохождения комиссии.
Плоскостопие и «Расписание болезней»
уществует специальная документация под названием: «Расписание болезней», где описаны заболевания, которые могут препятствовать службе в военной структуре. Каждый год расписание подлежит корректировке и внесению изменений.
Стоит обратить внимание на статью, касающуюся данного заболевания, и внимательно изучить ее.
На какие категории в армии делится плоскостопие
В армии, в списках расписания болезней, плоскостопие разделяют на группы: «а», «б», «в», «г».
Что подразумевает каждая из них, и которая может стать преградой для службы в армии, рассмотрим ниже:
- «а» – данная группа говорит о наличии серьезных осложнений и нарушении функций при патологии. Получившему ее во время медицинского осмотра призывнику поставят категорию «Д»;
- «б» – характеризуется умеренным количеством нарушений. В данном случае человек получит категорию «В» – на службу его не возьмут, но поставят в список военного запаса. Призвать человека смогут только во времена военных действий;
- «в» – группа подразумевает незначительные отклонения от нормы, вследствие чего юноша получит также категорию «В»;
- «г» – ставится в случае отсутствия каких-либо нарушений, когда все показатели при плоскостопии в норме. Данная группа подразумевает получение категории «Б3», она означает, что человек годен, но исключением могут стать некоторые войска.
Что такое плоскостопие
Плоскостопием называют изменение или деформацию формы стопы.
Заболевание сопровождается поперечным или продольным ее сводом. Бывают ситуации, когда у человека имеется сразу две формы (продольное и поперечное).
Разделяют 3 основных вида плоскостопия:
- Поперечное – одно из распространенных видов заболевания. Причиной могут стать слабые мышцы голени и стопы в целом. Чаще всего наблюдается у людей более старшего возраста – 30-50 лет;
- Продольное – характеризуется распластанной формой стопы, соприкасающейся всей своей поверхностью с полом. В данном случае нарушается амортизация стопы, что влечет за собой патологии в позвоночном отделе и конечностях. Продольное плоскостопие – болезнь молодежи, встречается обычно от 16 до 25 лет;
- Смешанный вид – подразумевает наличие обоих видов плоскостопия – продольного и поперечного.
Причины возникновения
Заболевание чаще имеет приобретенную форму, иногда врожденную. Причинами могут стать травмы, паралич мышц, рахит и статическая форма стопы.
Одним из распространенных факторов, влияющих на развитие патологии, может стать некачественная обувь.
В большинстве случаев заболевание появляется еще в детстве, а при отсутствии своевременной корректировки сопровождает человека всю жизнь.
Причина появления плоскостопия может быть самой банальной, к примеру, донос чужой обуви. Изношенная обувь совершенно неправильно распределяет нагрузку по всей стопе, поэтому большинство детей имеют данную проблему, которая в будущем может мешать нормальной ходьбе.
Степени плоскостопия
Существуют три степени плоскостопия, каждая из них имеет определенную форму тяжести. На ранней стадии характерно растягивание связок, из-за чего человек может ощущать болезненность. Чаще всего возникает после длительной пешей ходьбы, проходит после отдыха.
Первая степень – это слабовыраженная стадия; характеризуется быстрой утомляемостью после нагрузок, может появляться отечность. При сильном надавливании на стопу присутствуют болезненные ощущения.
Вторая степень – комбинированная, возникает вследствие уплощения стопы, характеризуется плоской формой, из-за чего появляются сильные боли в ногах, которые нередко могут отдавать в колени.
Третья степень – сложная форма; проявляется сильной болью в стопе и всей голени, возникает отечность, появляется боль в поясничном отделе.
Патология плоскостопия может прогрессировать очень быстро, приводя к деформации и искривлению большого пальца и образованию на нем косточки.
Кто определяет степень заболевания
С данной патологией работают специалист хирург-ортопед. На основании полного обследования он ставит диагноз.
Стоит взять во внимание, что комиссариат не имеет права ставить юноше диагнозов. В случае подозрений и жалоб человека они обязаны направить на дополнительную диагностику. Только по результатам от практикующего специалиста комиссар определяет степень годности к службе в военной структуре.
Симтоматика
Чтобы вовремя предотвратить заболевание, следует обратить внимание на износ своей обуви. Быстрый износ во внутренней части является первым признаком возникновения плоскостопия.
Нередко симптомами могут быть быстрая утомляемость после ходьбы, боль в стопе и области лодыжки. При сложных формах могут возникать головные боли, боли в области коленей и поясницы.
Как диагностировать
Чтобы предотвратить появление серьезных последствий заболевания, важно его вовремя диагностировать. При возникновении первых симптомов у юноши следует обратиться к врачу, для получения направления на прохождение диагностики.
Что входит в процедуру обследования:
- Рентген – делается снимок области стопы, после проводится подсчет расстояния и углов между костями стопы;
- Подометрия – проводятся подсчеты по методу Фридлянда;
- Плантография – представляет собой исследование с помощью нанесения красящего пигмента на область стопы, исследуя ее отпечаток.
Плоскостопие 2 степени, определение вида патологии
В большинстве ситуаций ни 1, ни 2 степень плоскостопия не являются причиной для отстранения от службы в военной структуре. Под получение военного билета могут попасть молодые люди с тяжелой, 3 степенью заболевания.
Но все же 2 стадия нередко может давать осложнения. Стоит рассмотреть несколько видов плоскостопия, которые относятся к данной степени. Они определяются на основе показателей замеров стопы:
- Когда угол продольного свода варьируется от 140 до 155 град. (высота 24-17 мм) – это свидетельствует о наличии продольного плоскостопия 2 степени;
- В случае, когда замеры угла плюсневых костей около или равны 15 градусам, а отклонение большого пальца на 30, то это характерно для поперечного плоскостопия 2 стадии;
- Наличие патологии костного разрастания более, чем на 1 мм от края сустава, а сужение его щели более 50 % – это свидетельствует о наличии недуга второй степени.
Плоскостопие 2 степени, категории годности
Является ли плоскостопие 2 степени причиной для отстранения от службы в военной структуре, и какая категория годности присуща для человека с деформацией формы стопы, решит только полное обследование.
В случае, когда 2 степень прогрессирует, имеются серьезные проблемы со здоровьем, то человека могут отправить на дополнительное обследование для описания общей картины и постановления точного диагноза.
Принцип определения годности к службе
Для того чтобы определить можно ли служить в армии с любой патологией, в том числе и с плоскостопием 2 степени, важно пройти медкомиссию. По ее результатам юноше будет присвоена одна из категорий годности.
Будущему солдату предстоит пройти 7 врачей. Каждый из них будет определять «годен» человек или нет. В карте призывника ставится одна из букв: А, Б, В, Г, Д. На основе этого будет проводится подсчет. В случае, когда все врачи, кроме одного, поставили категорию «годен» или «ограниченно годен», а один поставил недопуск, то такого юношу в армию не возьмут потому, что это будет противоречить «Расписанию болезней. Данная процедура называется – методом наихудшего результата.
Категории годности к военной службе
Определение годности при плоскостопии 2 степени осуществляет медицинская комиссия, но, скорее всего, для имеющих данное заболевание армия не станет противопоказанием, если у юноши нет дополнительных заболеваний.
Основываясь на Законе «О воинской обязанности и военной службе», во время медицинского освидетельствования человеку присваивают одну из категорий:
- «А» – характеризуется готовностью к несению службы без ограничений;
- «Б» – ставится пригодным к службе, но с незначительными ограничениями;
- «В» – говорит об ограниченной годности. Имея данную группу, человек является освобожденным от службы в мирное время, но во время военных действий может быть призван на защиту Родины;
- «Г» – временно не допускается. Временная непригодность дает отстранение на срок от 6 до 12 месяцев. Период необходим для устранения патологии, мешающей службе. Спустя данное время, если лечение дало положительный результат, человеку назначается повторное прохождение медицинской комиссии;
- «Д» – с данной категорией в армии не служат.
Армия и плоскостопие 2 степени, берут ли?
Наличие патологии – плоскостопие второй степени, скорее всего, не станет причиной для отказа в несении службы, а вот берут ли юношей в армию при его сопутствующих заболеваниях, решит только полное обследование.
Чтобы полностью в этом убедиться, стоит заглянуть в документацию «Расписание болезней» где указано, что наличие плоскостопия 2 степени не есть причиной для отстранения от службы в армии.
ИНТЕРЕСНОЕ ПО ТЕМЕ:Понравилась статья — сохрани в свою социальную сетьvojskovayachast.ru
Берут ли в армию с плоскостопием второй степени
Плоскостопие является распространенной причиной признания юношей призывного возраста ограниченно годными к военной службе. Тем не менее, плоскостопие второй степени не считается основанием для установления данной категории годности, поэтому с данным заболеванием в армию обычно призывают. Призывникам, у которых выявлено такое плоскостопие при прохождении медицинской комиссии устанавливается категория «Б», которая предписывает определенные ограничения при выполнении соответствующих обязанностей перед государством, но не освобождает от них полностью.Плоскостопие второй степени соответствует пункту 68 Расписания болезней, которое является приложением к Положению о военно-врачебной экспертизе, утвержденному Правительством РФ. В данном пункте имеются следующие подпункты:
а) плоскостопие, иные деформации стопы со значительным нарушением функций;
б) плоскостопие, связанное с умеренным нарушением функций;
в) деформации стопы, плоскостопие с незначительным нарушением функций;
г) объективные данные, не свидетельствующие о нарушении функций.
Соответствие заболевания призывника первому названному подпункту влечет полное освобождение от выполнения обязанностей по несению военной службы, то есть такому призывнику устанавливается категория «Д» — не годен к несению службы. Выявление второго или третьего подпунктов на медицинской комиссии приводит к установлению категории «В» — ограниченная годность к военной службе. В этом случае идти в армию также не придется.
Плоскостопие второй степени всегда относится к последнему подпункту пункта 68 Расписания болезней, что прямо указывается в пояснениях, содержащихся в этом документе. При этом не имеет значения конкретный вид этого заболевания, поскольку продольное и поперечное плоскостопие данной степени не вызывают нарушения функций. Именно поэтому при наличии данной болезни призывник может рассчитывать только на установление категории «Б», которая не освобождает от непосредственного исполнения воинской обязанности. При этом плоскостопие третьей или четвертой степени является безусловным основанием для освобождения от прохождения службы, поскольку такое лицо при прохождении хирургического обследования признается ограниченно годным, его не берут в армию.
www.kakprosto.ru
Берут ли в армию с плоскостопием 1, 2 или 3 степени
Почему с плоскостопие могут освободить от службы
Плоскостопие – это аномалия конечностей, имеющаяся с рождения, либо приобретенная в течение жизни, характеризующееся продольным (поперечным) уплощение, может даже и смешанным.
Поскольку главная функция стоп – смягчение при передвижении, то неверное разделение физической нагрузки ведет к сильнейшим болевым ощущениям вначале в нижних конечностях, затем других зонах двигательного аппарата.

На заметку! Не стоит пускать заболевание на самотек, ведь своевременная коррекция стоп может избавить от ненужных проблем в будущем. Не уделяя данному вопросу должного внимания, последствия могут стать необратимыми и понадобится помощь квалифицированного врача хирурга.
Так почему же среди множества болезней, плоскостопие стоп упоминается гораздо чаще остальных, в связи с освобождением от несения службы в воинской части? При несвоевременном лечении и пренебрежении терапевтических правил коррекции, конечности человека уплощаются и приводят к нестерпимым болевым ощущениям, порой ограничивая даже передвижение.
Остались вопросы?
Для решения своей проблемы заполните форму ниже и наши юристы бесплатно Вас проконсультируют!
На самом деле, даже с 1 степенью заболевания следует максимально ограничивать физические нагрузки на больные ноги, носить обувь исключительно с ортопедическими стельками, делать специальную лечебную гимнастику и массаж, иначе заболевание будет прогрессировать.
Если при данной степени в армию еще берут, хотя это может навредить, на более поздних стадиях служба может стать опасной для здоровья.
Степени развития, виды плоскостопия и их соотношение с группами
Чтобы определить степень плоскостопия и поставить точный диагноз, врач должен учитывать такие факторы:

- Рентгенограмма. Диагностическую процедуру проводят в положении стоя, когда стопа под нагрузкой. После получения снимка рентгенолог составляет его описание — это основная информация, на основе которой врач может определить, годен человек или нет. В описании указывается угол и высота продольного свода.
- Определение угла Белера. Этот показатель указывает на степень деформации пяточной кости.
- Компьютерная томография. Исследование проводится в коронарной плоскости. В результате удается изучить состояние подтаранного сустава.
- Изучение позиции первого пальца и его плюсневой кости. Эта величина определяется углом отклонения от нормального положения.
Разные виды диагноза плоскостопие зависит от многих сопутствующих факторов. Призыв возможен, если состояние человека совместимо с физическими нагрузками. Распределяют диагнозы и решают, можно ли брать в армию, по таким категориям:
- 1 и 2 степень плоскостопия, развивающиеся на фоне деформирующего артроза 1 степени. Диагноз относят к этой категории в том случае, если у человека не обнаруживается контрактура пальцев и экзостозов.
- Плоскостопие 2 степени, сопровождающееся артрозом второй степени.
- При третьей степени плоскостопия.
- Уплощение стопы, ношение армейской обуви при котором невозможно. К этой категории относится плоско-вальгусная стопа, эквиноварусное плоскостопие, варусное, конское, полое, пяточное.
Такое разделение показывает, что человек будет признан годным к службе в армии, если у него диагностируют плоскостопие 1 или 2 степени продольного или поперечного типа, которое не отягощено сопутствующими заболеваниями.
В более тяжелых случаях человек может получить освобождение в мирное или военное время — в зависимости от сложности состояния болезни.
Определить степень плоскостопия и сложность состояния больного должен врач-ортопедДиагноз ставится на основе исследований. Только после утвержденного врачом диагноза военный комиссар может решить вопрос о годности или негодности человека к службе.
В норме стопа любого человека имеет два свода:
Оба свода важны и нужны для смягчения (амортизации). Помимо этого, они дают возможность человеку держать равновесие, не упасть во время ходьбы, отчасти облегчать работу нижних конечностей. Если своды стоп по какой-либо причине подвергаются деформированию, то врачом ставится диагноз плоскостопие.
Исходя из имеющихся сводов, выделяют две разновидности заболевания:
- Продольное плоскостопие;
- Поперечное плоскостопие;
- Комбинированное плоскостопие.
Плоскостопие 1 степении
До недавнего времени «откосить» от армии возможно было со второй степенью плоскостопия. При получении категории «б3» оформлялось освобождение или отсрочка от военной службы.
С учётом новых изменений в законе с 1 января 2014 года, действующих поныне, вторая степень плоскостопия не препятствует службе в войсках Вооружённых Сил.
Не предусмотрена и отсрочка. На вопрос: «Берут ли в армию с плоскостопием?» — ответом послужит: «В войска возьмут, с первыми степенями развития».
Освобождение или отсрочка от службы даётся при 3 и 4 степенях. Вид заболевания делится на степени:.

Плоскостопие 2 степени определяется по следующим признакам:
- Продольное: Угол впадины на подошве — 141 — 155 °;
- Поперечное:
- Угол плюсневых между первым и вторым пальцами — 12 — 15 °;
- Отклонение первого пальца на угол — 20 — 30 °;
С такой стадией этого заболевания вы получите категорию годности «Б3». Причем это произойдет, только в том случае если у вас совместно с плоскостопием наблюдается деформирующий артроз 2 стадии течения.
Он характерен разрушением мягких тканей суставов стопы, что приводит к их деформации и может вызывать у человека ощутимую боль. Признаки 2 стадии течения артроза:.
- Разрушения суставного хряща приводит к сужению щели в стопе на 50%;
- Появляются краевые разрастания — остеофиты длиной примерно 1 миллиметр.
Как вы видите, в условиях воинской службы эта разновидность плоскостопия будет приносить человеку многочисленные проблемы как физического, так и психологического характера. Не говоря уже о том, что без должных корректирующих мер и лечения, недуг наверняка будет заметно прогрессировать.
Признаки дальнейшего развития плоскостопия
Плоскостопие – коварная болезнь, долгое время себя не проявляет и не доставляет неудобств, до определённой поры. Первыми важнейшими признаками развития плоскостопия и сколиоза становятся появление хруста в суставах опорно-двигательного аппарата скелета человека и боли в области поясницы, в отдельных случаях возможно заработать головные боли.

Как проводится диагностика
Специалисты в военкомате могут использовать старый метод для определения плоскостопия – на стопу наносят жирный крем и призванный юноша встает на листок бумаги. Такой способ позволяет быстро, «на глаз» определить степень деформации.
Среди современных методов определения степени плоскостопия – рентгенография, компьютерная томография. Если плоскостопие 3 степени, то перед армией рентген необходим – снимок вшивается в дело. В том случае, если плоскостопие первой степени и рентген это подтверждает, годность не вызывает сомнений.
Существует плантография – процедура, с помощью которой можно сделать отпечаток стопы на специальном аппарате. Прибор покажет форму стопы, позволит врачу увидеть, как распределяется давление под стопами.
Методы лечения плоскостопия в армейских условиях
Воинская форма солдат модернизирована, вместо тяжёлых кирзовых сапог солдаты носят удобные берцы. Для комфортной службы, снижения нагрузки на суставы и стопу, разработаны специальные ортопедические стельки – супинаторы.
Они поддерживают продольный поперечный свод стопы, разгружая её и возвращая функцию пружинистой амортизации, вмешиваясь в процесс хождения и разгружая коленный сустав.
Это позволит избежать серьёзных последствий и облегчить нагрузку на суставы, уменьшить болевые синдромы при проявлении.
Выбирать ортопедические стельки полагается, учитывая возраст, телосложение и предстоящие виды физических нагрузок. Носить ортопедические стельки рекомендуется ежедневно, включая время после прохождения службы в армии, иначе возможно заработать осложнения.
Армейские берцы поддерживаются в хорошем состоянии, чтобы носить с ними стельки, подошва не должна быть стоптанной, иначе ортопедическая стелька не принесёт пользы, наоборот, причинит вред больной стопе.
Эффективным методом по борьбе с плоскостопием в армейских условиях станет самомассаж больных стоп перед сном. Массажные действия помогают улучшить кровообращения, приводят мышцы в режим восстановления рабочей функциональности, способствуя предотвращению ударных действий суставов друг о друга.
Массаж голеностопных суставов и стоп снимет излишнее напряжение и усталость в ногах, улучшая сон.

Массажная терапия
Кроме прочего, лечить плоскостопие допустимо с помощью простых гимнастических упражнений:
- Вытягивание носков в противоположных направлениях: к себе поочерёдно с вытягиванием от себя;
- Движение стоп по кругу;
- Уверенная ходьба на пятках;
- Интенсивная ходьба на носочках;
- Сгибание и разгибание мышц щиколотки;
- Ходьба босиком по различным неровностям;
- Манипуляции по сбору мельчайших предметов пальцами стоп: колпачки от ручек, пуговицы, втулки от ниток.
Основной задачей при лечении плоскостопия в армейских условиях жизни становится терпение и непрерывные занятия даже двухминутной гимнастикой перед сном, массажем в комплексе с ноской ортопедических стелек.
sustav.space
Берут ли сегодня в армию с плоскостопием 1, 2, 3 или 4 степени?
Осенний призыв завершился совсем недавно. По сей день бытуют случаи, когда бедного юношу могут забрать в доблестные ряды российской армии чуть ли не в канун Нового года. Однако, мы не об этом. Вот-вот закончилась компания предыдущего рекрутского набора, а уже неумолимо надвигается следующая – Весенний призыв. Многие молодые парни с нескрываем страхом ждут приближения 01 апреля 2018, когда двери отечественных военкоматов радушно откроют двери для свежих, или как принято называть в армии «молодых», призывников.
С самых молодых ногтей мальчишки желающие откосить от службы знают верный метод откосить – нужно разуться и голыми ступнями резво шлепать по бетону. Зачем? Чтобы развить заветное плоскостопие – некую непонятную болезнь, не причиняющую ее обладателю никаких неприятностей и неудобств, но чудесным образом позволяющую отвести от себя участь зачисления в стройные ряды солдат Вооруженных сил Российской Федерации.
Давайте же вместе разберемся, что такое это плоскостопие и так ли оно верно помогает избежать службы, как о нем говорят.
Что такое плоскостопие?
Прежде чем углубляться в глубокие материи нормативных актов, которые собственно и регулируют вопрос о комиссовании в ходе военно-врачебной комиссии по причине обнаружения у призывника плоскостопия, мешающего несению военной службы, определимся что есть такое само заболевание плоскостопие.
В самом широком понимании, плоскостопие характеризуется имением формы стопы, при котором опускается ее продольный или поперечный свод. Речь идет о том самом подъеме внутренней части стопы. Вы можете убедиться, встав на ноги, что у здорового человека эта часть не касается пола.
Ниже иллюстрация, изображающая отпечатки стопы (слева здоровая, справа с патологиями):

Итак, ввиду того, что стопа человека имеет два вида ее сводов – продольный и поперечный, медицинская наука различает следующие категории плоскостопия:
- Продольное плоскостопие.
- Поперечное плоскостопие.
- Комбинированное плоскостопие.
Плоскостопие имеет множество факторов и причин его появления у человека. Например, его возникновение напрямую коррелирует с набором избыточного веса. Чем большее количество лишних килограммов набирает человек, тем большую нагрузку несет стопа, и оттого возникает и прогрессирует продольная форма плоскостопия. Однако, упрежу молодых мужчин от стремления обзавестись стадией ожирения – вышеописанное имеет место в основном у женщин. У мужчин кости крепче и толще.
Вообще принято выделять виды плоскостопия в зависимости от его происхождения:
Крайне редкая форма, которая диагностируется не более чем у пяти процентов пациентов, страдающих плоскостопием. Данную форму невозможно выявить до шестилетнего возраста, ввиду особой морфологии детских конечностей.
- Травматическое;
К нему относят появление недуга вследствие переломов лодыжки, пятки, предплюсневых костей (те самые малые кости, образующие свод стопы).
- Паралитическое;
Здесь плоскостопие появляется вследствие паралича мышц стопы из-за болезни.
При ухудшении мышечной активности, например, при постоянном недвижимом стоячем образе жизни или напротив работа сидя, при чрезмерном весе. Эта форма является подавляющим фактором приобретения заболевания.
- Рахитическое;
Судя по названию, приобретается вследствие заболевания рахитом – дефицитом витамина D.
Далее принято делить плоскостопие на степени. Эта дифференциация наиболее важна в определении судьбы призывника. Поэтому остановимся на ней особенно.
Степени плоскостопия
Вначале укажем, что всю необходимую информацию, описанную нами ниже, вы можете прочесть в Постановлении Правительства РФ от 04.07.2013 N 565 (ред. от 30.03.2017) «Об утверждении Положения о военно-врачебной экспертизе», только уточните актуальный год редакции – 2018.

Плоскостопие первой степени
Данную степень военно-врачебная комиссия диагностирует при наличии у призывника при продольной форме плоскостопия – угол не более 140 градусов наклона, при поперечном – не более 12 градусов.
Расстрою, а может напротив обрадую, молодых призывников сразу – данная степень плоскостопия не препятствует не только прохождению службы, но и не мешает причислить призывника к «А» категории годности. Все потому, что обладатели указанной степени плоскостопия зачастую даже не подозревают о наличии деформации стопы. Если человек может заниматься любой деятельностью без ограничения, выполнять любые физические нагрузки и увлекаться спортом наравне со всеми, было бы странным, если бы такого юношу освободили бы от воинской повинности.
Плоскостопие второй степени
Военно-врачебная комиссия диагностирует вторую степень при наличии у призывника при продольной форме плоскостопия – угол не более 155 градусов наклона, при поперечном – не более 15 градусов.
Вокруг второй степени плоскостопия происходит весь ажиотаж. Действительно, раньше с данной степенью в войска не призывали, а давали категорию ограниченно годного. Однако не далее, чем два года назад военные поменяли расклад. Вряд ли граждане со встрой степенью плоскостопия стали меньше чувствовать дискомфорт при маршах, скорее всего сказалось обстоятельство демографической ямы девяностых годов, отчего сегодня обеспечить наполняемость воинских частей стало несравнимо труднее.
Юноше с выявленной второй степенью плоскостопия не стоит рассчитывать на элитные рода войск, но службы в рядовых частях – в мотострелках, артиллерии, национальной гвардии и подобных избежать не получиться точно.
С подходом к призывному возрасту детей нулевых ситуация с призывом улучшится, возможно изменится и отношение ко второй степени, но далеко не факт. Остается посоветовать либо смирится, либо тянуть время в ожидании положительных изменений в расписании болезней. Может быть к тому времени призывная служба вовсе будет отменена, что постоянно предвещают.
Плоскостопие третьей и четвертой степеней
С данными степенями все остается без изменений – брать в армию не будут и ближайшие годы не собираются. Служить с нарушениями стоп такого порядка физические невозможно. Поэтому в мирное время им в войска путь заказан. Можете смело приходить в районный военкомат, где вам поставят категорию годности «В» — ограниченно годен.
Полезная публикация? Проголосуй!
pravodnik.net
Берут ли в армию с плоскостопием в 2019
Сегодня, граждане призывного возраста, перед началом призыва уже имеют достаточную информацию о том, с какими недугами призыв в ряды вооруженных сил не осуществляется. Один из них – плоскостопие. Берут ли в армию с плоскостопием в 2019 году? Разберем этот вопрос внимательно.
Начиная с младшего дошкольного возраста, дети регулярно проходят медицинские осмотры на предмет наличия болезней вообще, в том числе плоскостопия, в частности. Поскольку плоскостопие может вызвать серьезные осложнения в более старшем возрасте оно подлежит обязательному и незамедлительному лечению и корректировке, пока детский организм еще развивается. Обычно, у большинства детей обнаруживаются какие-то проблемы, поэтому у большинства же призывников в памяти находится мысль о том, что это заболевание точно присутствует.
Однако, важно отметить, что плоскостопие у ребенка и у взрослого – это две разных болезни, с точки зрения военкомата. В детском и юношеском возрасте оно сравнительно легко и безболезненно лечится и в дальнейшем не осложняет жизни, исчезая в старшем возрасте.
Также, примерно с постперестроечного периода, среди юношей ходит слух о том, что с этим недугом точно не будут брать в армию. Это весьма неверно, поскольку, опущена наиболее важная часть информации, а именно – о его степени, наличии осложнений и так далее. Мифы, порожденные этим слухом, развеиваются тогда, когда юноша проходит медкомиссию, при постановке на воинский учет и приписке к участку. Как правило, такой юноша, получает у хирурга запись «годен к армии».
Законом определено, что каждый юноша призывного возраста должен прийти на медкомиссию в военкомате по первому требованию. В ином случае он может быть наказан штрафом.
Вследствие чего так получается? Документ, который дает основания к призыву с наличием того или иного недуга – «Расписание болезней 2019 года», и является основным документом для суждения о годности в армию. В нем находятся сведения обо всех заболеваниях, при которых брали в армию, предоставляется отсрочка либо, освобождение от призыва, а также порядок подтверждения наличия заболеваний, в том числе и плоскостопия. Оно, к слову сказать, бывает 1, 2, 3 и 4 степеней.
Хочешь получить освобождение от армии по плоскостопию?
Получи консультацию военного юриста по своей ситуации с военкоматом. Ты узнаешь, как пошагово получить военный билет и не служить в армии.
* мы гарантируем конфиденциальность ваших данных
Более прочих нам интересна его 68 статья, которая гласит, что «при незначительных нарушениях функций», вызванных заболеванием, гражданина не берут в армию. Все на самом деле на много сложнее, нежели может показаться на первый взгляд. Рассмотрим комментарий к ней, нормирующий степень плоскостопия. Чтобы хорошо подготовить свое заболевание для медкомиссии, не надо забывать, что призыв в армию в 2019 начинается 1 апреля весной, и 1 октября осенью.
Плоскостопие 3 степени

В основном нормирующем документе сказано, что продольное плоскостопие 3, а также поперечное 3 и 4 степеней, повод для освобождения гражданина от армии. Уже неважно, присутствует ли болевой синдром или нет, однако его наличие – указание на действие 68 статьи. Присутствие недуга «деформирующий артроз суставов стопы» совместно с рассматриваемой тяжестью основного заболевания – однозначная классификация в категорию «B». Иными словами, на вопрос «берут ли в армию с плоскостопием 3 степени» можно ответить отрицательно.
Если вам нужна помощь в освобождении от службы в армии по плоскостопию, записывайтесь на бесплатную консультацию по телефону 8(800)775-10-56 или в форме ниже статьи.
Плоскостопие 2 степени

Наличие плоскостопия с такой степенью вызывает больше всего вопросов, поскольку диагноз более распространен, нежели предыдущий. Некоторое время назад, с ее наличием в армию не брали. Однако в 2014 году изменился основной регламентирующий документ, и ответ на вопросы «берут ли в армию с плоскостопием 2 степени» стал другой.
В сегодняшней версии явно сказано, что граждане с плоскостопием являются годными с незначительными ограничениями. Сказанное означает, что парень в спецназе ГРУ ГШ, ВДВ и других избранных родах войск служить не годен, но в места попроще, а их более 80 %, проходит однозначно. Времена, когда с диагностированной 2 степенью плоскостопия освобождали от призыва в армию прошли. Возможно в будущем законодательство претерпит изменения, однако в планах на 2019 год такого пока нет.
Плоскостопие 1 степени

Наличие данного диагноза не вызывает препятствий к службе в армии, и призывнику согласно документу «Расписание болезней» будет присвоена та или иная категория годности к службе в ВС РФ, которая повлияет на конкретное место службы гражданина, или на принадлежность к конкретному роду войск.
Важно отметить, что документ «Расписание болезней» составлен таким образом, что в него попали только заболевания, реально препятствующие исполнению воинского долга, и которые в процессе прохождения службы в армии могут «обрасти» осложнениями и отрицательно повлиять на дальнейшую жизнь гражданина.
Ситуаций, при которых молодой человек занимается спортом, ведет активный образ жизни и получает освобождение от армии из-за наличия у него диагноза «плоскостопие» быть не должно, именно исходя из этих соображений составлен этот документ. Другое дело – люди со слабым здоровьем. Если у товарища не возникает болевых ощущений при движении – надеяться на освобождение от службы в армии не имеет смысла.
С каким плоскостопием можно избежать армии?
Бессмысленно полагать, что юноша будет освобожден от призыва в вооруженные силы РФ, только вследствие того, что в детском возрасте было выявлено наличие плоскостопия, поскольку откосить законно от армии смогут только лица, у которых в диагнозе отмечена только 3 степень этого недуга. Призывник, страдающий именно такой степенью недуга — точно знает об этом, и эта болезнь накладывает отпечаток на его повседневную жизнь. Выявить случайно его вряд ли возможно, однако бывают и не только такие случаи.
Призывнику есть смысл досконально изучить «Расписание болезней 2019». Нужно также пройти полное исследование организма на потенциально возможные заболевания, а не надеяться на наличие плоскостопия, с которым не берут в армию. Нелишним будет и обращение в профильные юридические организации, оказывающие помощь молодым людям призывного возраста, поскольку в большинстве случаев они сотрудничают с медиками, которые знакомы с «Расписанием болезней» на профессиональном уровне.
Военный билет по плоскостопию
У вас ярко-выраженное плоскостопие, но всё равно вас направляют служить в армию? Так нельзя! Либо вы не указали на заболевание во время медицинского освидетельствования, либо вам умышленно поставили неверную группу годности. Что же делать?
Военно-врачебная коллегия как раз занимается тем, что помогает молодым призывникам в сложных ситуациях: как на этапе подготовке к походу в военкомат, так уже и после получения группы годности. Мы – команда профессионалов, состоящая из военных юристов и медицинских специалистов.
Почему нам можно доверять? За 11 лет работы мы помогли более чем 5000 молодых парнё законно получить военный билет. Значит, поможем и вам! А если не получится – вернём деньги.
У нас вы можете:
-
получить одну полноценную консультацию юриста абсолютно бесплатно;
-
оформить беспроцентную рассрочку платежа в случае заключения договора с коллегией;
-
получить консультацию в Skype, если в вашем городе не окажется нашего филиала.
Не ждите призыва! Прямо сейчас звоните по телефону 8(800) 775 10 56 или оставьте заявку на сайте, и мы запишем вас на консультацию.
voenniy-bilet.ru
